Laboratório Roriz Laboratório Roriz

Há mais de 40 anos a servi-lo com rigor, qualidade e confiança.

  • Laboratório Roriz

    • História
    • Equipa
    • Missão, Valores e Visão
  • Exames

  • Acordos e Convenções

  • Qualidade

  • Contactos

  • Laboratório Roriz

    • História

    • Equipa

    • Missão, Valores e Visão

  • Exames

  • Acordos e Convenções

  • Qualidade

  • Contactos

Exame 1
Exame 2
Exame 3
Previous Next

Exames

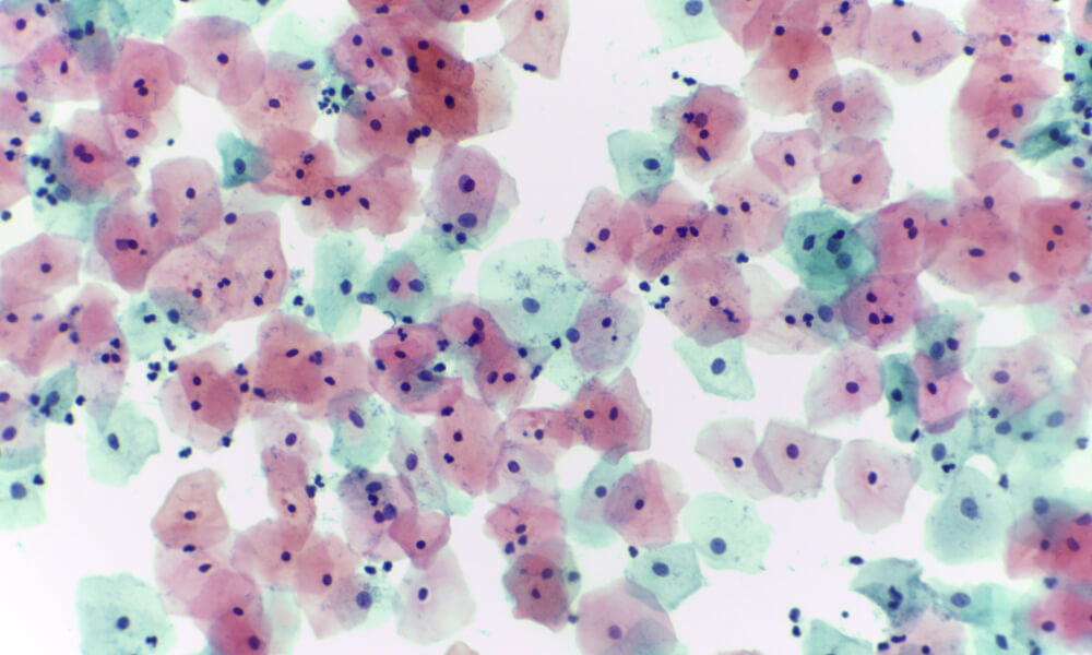
Exames Citológicos

  • Citologia cervico-vaginal em meio líquido e convencional (Papanicolaou)
  • Citologia aspirativa (Tiróide, Mama, entre outros)
  • Citologia de Líquidos, Lavados e Secreções (urina, expectoração, conteúdo de quistos)

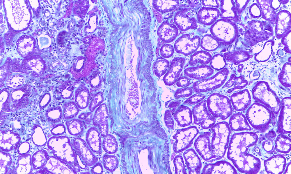
Exames Histológicos

  • Exame histológico de biópsias e peças operatórias
  • Exame extemporâneo (diagnóstico intra-operatório)

Técnicas Complementares de Diagnóstico

  • Imunohistoquímica
  • Histoquímica
  • Tipagem HPV (em citologia meio líquido e biópsias)
  • Candidaturas
  • FAQS
  • Política de Privacidade
  • Links Úteis

Horário

Dias Úteis
das 08.00 às 19.00 horas

Contactos

Telefones:

21 319 48 80
21 319 48 88
91 224 97 88

(Custo de uma chamada para a rede fixa/móvel nacional)

 

Emails:

sectortecnico@labroriz.pt
secretariado@labroriz.pt

Copyright © Laboratório Roriz 2016